


- RAPPELS + QCMs
- QCMs du CONCOURS de PHARMACIE (ACCES DEUG)
- TESTS NOTES et CORRIGES
EUCARYOTES et PROCARYOTES
Les cellules eucaryotes ont une taille relativement grande, qui se situe entre 10 et 100 μm, et possèdent des caractères qui les distinguent radicalement des procaryotes. Les plus évidents sont la présence d’un noyau entouré d’une enveloppe nucléaire et de divers organites.
Les organites sont des compartiments contenus dans le cytoplasme et délimités par une membrane lipidique. Ils accomplissent des fonctions physiologiques spécialisées et permettent à la cellule de gérer la diversité et la complexité des réactions métaboliques .
ULTRASTRUCTURE D'UNE CELLULE EUCARYOTE.
A. Noyau
Le noyau est un organite, présent dans la majorité des cellules eucaryotes, et contenant l’essentiel du
matériel génétique de la cellule sous la forme d’un complexe ADN–protéines appelé chromatine.
Contrairement aux procaryotes (cellules sans membrane nucléaire et à 'ADN nu'), l'ADN des cellules eucaryotes est associé à des protéines
L'association de l'ADN avec des protéines basiques = histones donnent naissances aux Nucléosome.
Lors de la division cellulaire, la chromatine se condense pour prendre la forme de chromosomes .
-- Enveloppe nucléaire: L’enveloppe nucléaire délimite le noyau et sépare deux milieux : le cytosol et le nucléoplasme.
-- Pores nucléaires: Les membranes internes et externes de l’enveloppe nucléaire fusionnent à intervalles réguliers, formant des pores nucléaires qui rendent possible des échanges, aussi bien dans le sens noyau → cytoplasme que dans le sens cytoplasme → noyau.
B. Membrane plasmique
La membrane plasmique des cellules eucaryotes ressemble à celle des procaryotes. Elle est constituée d’une
double couche lipidique associée à des protéines et à des glucides sur sa face externe. Entre les phospholipides se
trouvent également des molécules de cholestérol.
C. Cytoplasme
Le cytoplasme désigne le contenu d’une cellule vivante, la totalité du volume cellulaire délimité par la membrane
plasmique, à l’exception du noyau.
Il est commun d’utiliser le terme organite pour désigner des structures comme les ribosomes (constitués de l'enveloppe nucléaire) ou les flagelles (recouverts) par la membrane plasmique) qui ne sont pas délimitées par une membrane.
D. Réticulum endoplasmique
Le réticulum endoplasmique (RE) est un organite qui regroupe un ensemble de cavités limitées par une
membrane lipidique.
-- Réticulum endoplasmique granulaire (REG) :
le réticulum endoplasmique est dit granulaire lorsque sa
surface est recouverte de ribosomes.
-- Réticulum endoplasmique lisse (REL) : le réticulum endoplasmique est lisse lorsqu’il est dépourvu de
ribosomes.
E. Appareil de Golgi
L’appareil de Golgi est un organite constitué par des empilements de saccules. Les protéines sécrétoires sont
très souvent modifiées dans l’appareil de Golgi par addition de groupements spécifiques (glycosilation) et sont ensuite dirigées
vers leur localisation propre .
F. Mitochondries
Les mitochondries sont des organites présents dans la majorité des cellules eucaryotes. Elles sont responsables
des réactions métaboliques de la respiration cellulaire qui aboutissent à la fabrication d’énergie sous forme d’ATP.
C’est pour cette raison qu’on les compare souvent à des « centrales électriques de la cellule ».
G. Cytosquelette
Le cytosquelette est un ensemble d’éléments présent dans le nucléoplasme et le hyaloplasme des cellules
eucaryotes. Il est responsable, entre autres, de la forme interne et externe de la cellule, des mouvements cellulaires
et du transport de différents organites ou vésicules à l’interieur de la cellule.

Vidéo: https://youtu.be/3xbAYHjzYvI
H. Peroxysomes
Les peroxysomes sont des organites cellulaires entourés par une membrane simple, renfermant des enzymes
qui catalysent la production et la décomposition de l’eau oxygénée, c’est-à-dire le peroxyde d’hydrogène H2O2. Leur principale fonction est l’élimination des radicaux libres produits par l’oxygène dans la cellule.
1-1- Cellule animale
A. Lysosomes
Les lysosomes sont des organites cellulaires présents dans le cytosol de presque toutes les cellules eucaryotes
animales. Il sont à membrane simple. Ils ont pour fonction d’effectuer la digestion intra-cellulaire grâce à des enzymes.
B. Centrosome
Le centrosome est une structure propre aux cellules eucaryotes animale. Il se compose d’une paire de
centrioles perpendiculaires l’un à l’autre, entourée par un ensemble de matériel appelé matériel péricentriolaire.
Le centriole est une structure cellulaire constituée de neuf triplets inclinés de microtubules.

1-2- Cellule végétale
Par rapport aux cellules animales,
elles possèdent une taille plus grande (50 à 250 μm) et ont généralement une forme anguleuse et géométrique .

Les cellules des végétaux présentent certaines structures caractéristiques, parmi les quelles :
A. Paroi pectocellulosique
La paroi pectocellulosique est un élément de structure cellulaire rigide qui protège chaque cellule végétale et
lui confère une résistance mécanique. Elle est constituée de cellulose et de protéines.
B. Vacuole
La vacuole est un compartiment limité par une membrane simple, rempli d’eau et contenant diverses
molécules inorganiques et organiques. La vacuole n’a pas de forme ou de taille particulière, sa structure
variant en fonction des besoins de la cellule
C. Plastes
Les plastes sont présents dans les plantes et les algues. Les plus connus sont les chloroplastes,
dans les cellules d’organismes photosynthétiques, qui sont le siège de la photosynthèse. Ils possèdent également
leur propre génome.
D. Plasmodesmes
Les plasmodesmes sont des canaux reliant les pores de la paroi cellulaire, ce qui permet à chaque
cellule végétale de communiquer avec les cellules adjacentes.
Comparaison des cellules eucaryotes et procaryotes

Les virus, sont-ils des cellules ?

VIH (rétrovirus):

Les virus, ne sont considérés ni comme cellules eucaryotes ni comme cellules procaryotes (ce ne sont pas des cellules). Ce sont des éléments qui ne possèdent ni noyau ni cytoplasme et ne peuvent se reproduire qu’en parasitant une cellule hôte en détournant la machinerie cellulaire. C’est un état acaryote.
Les virus ne sont pas vraiment vivants, donc ils ne meurent pas non plus, même si de nombreux mécanismes peuvent les dégrader et les empêcher d'être infectieux.
Pour persister, les virus ont besoin d'infecter des cellules et les reprogrammer pour qu'elles produisent des copies. Un virus doit envahir une cellule vivante pour se reproduire (réplication). Il s'attache à une cellule (appelée cellule hôte), y pénètre et y libère son ADN ou son ARN.
Les virus à ARN. Ils comprennent le SARS-CoV2, qui provoque le COVID-19. Les virus à ARN comprennent également les rétrovirus, tels que le VIH (virus de l'immunodéficience humaine).
Qu'elle différence entre un rétrovirus et un virus à ARN?
La principale différence entre rétrovirus et virus à ARN est que tous les rétrovirus sont des virus à ARN, mais tous les virus à ARN ne sont pas des rétrovirus. Les rétrovirus se distinguent par leur cycle de réplication unique : ils utilisent une enzyme appelée transcriptase inverse pour copier leur ARN en ADN, lequel est ensuite intégré dans le génome de la cellule hôte. Les virus à ARN non-rétrovirus se répliquent différemment, sans intégrer leur matériel génétique dans l'ADN de l'hôte.
On distingue les virus enveloppés des virus nus.
Les virus enveloppés (ex virus de la grippe) contiennent des membranes lipidiques sur leur surface externe dérivées des cellules hôtes et peuvent donc être facilement détruits par l'éthanol.
Les virus non enveloppés n'ont pas de membranes lipidiques et sont moins sensibles à l'éthanol.
Alors que les virus enveloppés pénètrent dans les cellules en fusionnant leurs enveloppes lipidiques avec la membrane cellulaire, les virus non enveloppés doivent généralement:
1/ pénétrer dans les cellules par endocytose, puis,
2/ pénétrer l'endomembrane cellulaire pour atteindre le cytosol.
Alors que les virus nus ne peuvent quitter leur cellule hôte qu'à la destruction de celle-ci (lyse), les virus enveloppés peuvent être libérés sans une telle destruction.
L'enveloppe virale a une grande importance pour l'infection de la cellule par le virus.
Les virus enveloppés sont des virus fragiles puisque l’enveloppe virale présente la fragilité des membranes cellulaires dont elle dérive. Les virus enveloppés vont avoir leur enveloppe rapidement dégradée et du même coup perdre leur pouvoir infectieux dans le milieu extérieur et le tube digestif
Dans le milieu extérieur, les virus enveloppés sont inactivés par la température, même la température ordinaire, et la dessiccation. Dans le tube digestif, ils sont inactivés par le pH acide et les enzymes digestives, alors que les virus nus y résistent beaucoup plus longtemps.
Attention: La nucléocapside est l'ensemble formé de la capside du virus (présente chez les virus nus ou enveloppés), l'enveloppe ou péplos n'étant pas la capside, mais une enveloppe lipoprotéique entourant la capside) du génome viral (ARN ou ADN).
QUESTIONS:
Compléter les légendes de ce schéma (observation en microscopie électronique) :


1- Annoter le schéma de l’organisation générale d'une cellules bactérienne (Bacteria) observée en microscopie électronique : 1. distinguer les deux grands types de
Bactéries (1, 2) différant par leurs membranes (et paroi) observées en microscopie électronique
2. Compléter les légendes.

Réponse:
1. Bactérie Gram négative (2 membranes et un peptidoglycane fin) et,
2. Gram positive (1 seule membrane, cytoplasmique, et un peptidoglycane très épais).
3. Membrane cytoplasmique (bicouche lipidique avec des protéines intégrées).
4. Paroi, faite de peptidoglycane (molécule géante formant l’enveloppe cellulaire).
5. Membrane externe, spécifique des Bactéries Gram négatives.
6. Ribosome (particule servant à la synthèse des protéines).
7. Nucléoïde : molécule d’ADN circulaire constituant l’information génétique.
8. Pilus : filament protéique servant à la reconnaissance et à l’adhérence.
9. Granule de réserve : stockage de polysaccharides ou de protéines.
10. Plasmide : mini chromosome circulaire (information génétique accessoire).
11. Polyribosome : suite de ribosomes fonctionnant sur un même ARN messager.
12. Flagelle locomoteur, ancré dans la membrane cytoplasmique.
QUESTION 1.
La cellule procaryote contient : (Des ribosomes)(!Un appareil de Golgi)(!Un réticulum endoplasmique)(!Un noyau)(!Des lysosomes)
QUESTION 2.
La cellule végétale contient : (Des ribosomes)(Des mitochondries)(Des chloroplastes)(Un noyau)(Une vacuole)
QUESTION 3.
La cellule animale contient : (Des ribosomes)(Des mitochondries)(!Des chloroplastes)(Un noyau)(!Une paroi)
QUESTION 4.
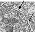
Laquelle des organelles suivantes est indiquée par les flèches sur cette vue observée en microscopie électronique ?

(Appareil de Golgi)(!peroxysome)(!Chloroplastes)(Lysosome)(!Noyau)
QUESTION 5.
A propos du nucléosome:
(Il est formé de l'ADN associé à des protéines basique, les histones, chez les eucaryotes)(!Il est formé de l'ADN associé à des protéines basique, les histones, chez les procaryotes)(!Il est présent chez les organismes à 'ADN nu')
QUESTION 6.
C'est un organite existant chez les cellules végétales et limité par une membrane simple, rempli d’eau et contenant diverses molécules inorganiques et organiques. Il s'agit de:
(Vacuole)(!Mitochondrie)(!peroxysome)
QUESTION 7.
Il existe chez les cellules eucaryotes animales, présentant une membrane simple et a pour fonction d’effectuer la digestion intra-cellulaire grâce à des enzymes. Il s'agit de:
(Lysosome)(!Chloroplaste)(!Peroxysome)(!Mitochondrie)
QUESTION 8.
Le centrosome est une structure propre aux cellules eucaryotes animale:
(Vrai)(!Faux)
QUESTION 9.
Ils sont des canaux reliant permettant aux cellules végétales de communiquer entre elles.
(Plasmodesmes)(!Pores nucléaires)(!Vésicules)
QUESTION 10.
Le cytosquelette est présent chez les procaryotes
(Faux)(!Vrai)
QUESTION 11.
Les bactéries sont caractérisées par une paroi
(glycoprotéique)(!pectocellulosique)
QUESTION 12.
Le virus du SIDA (VIH) et le coronavirus SARS-CoV-2 sont des virus à ARN:
(Vrai)(!Faux)
QUESTION 13.
Ils contiennent des membranes lipidiques sur leur surface externe dérivées des cellules hôtes et peuvent donc être facilement détruits par l'éthanol. Il s'agit de:
(Virus enveloppés)(!Virus nus)
QUESTION 14.
Ils sont facilement inactivés par la température, le pH et les enzymes. Il s'agit de:
(Virus enveloppés)(!Virus nus)
QUESTION 15.
Les bactéries contiennent:
(Un nucléoïde)(!Un lysosome)(Des ribosomes)(Un flagelle)
1- Microscope optique ou photonique:
1 : Oculaire, عينية, 2 : Tourelle porte-objectifs, حاملة الشيئيات, 3 : Objectif, شيئية, 4 : Platine, مسرح المجهر, 5 : Diaphragme, حجاب, 6 : Miroir, مرآة, 7 : Vis micrométrique, برغي ميكرومتري , 8 : Vis à crémaillère, برغي الإيضاح
Le microscope photonique permet d’observer sur une coupe très fine les détails infiniment petits d’un objet ou
échantillon. Il faut que l’objet soit mince pour que la lumière (photons) puisse le traverser.
Types de microscopes optiques:
Il existe plusieurs types de microscopes optiques ayant chacun des montages optiques spéciaux et qui ont été mis au point pour permettre l’observation des cellules dans certaines conditions. Les microscopes les plus utilisés sont:
Type:
utilisé dans:
1. MO à fond clair
observation des structures cellulaires internes après coloration.
2. MO à fond noir
observation d’échantillons non colorés et des cellules vivantes et en déplacement
3. MO à fluorescence
marquage fluorescent de structure et de composés macromoléculaires
4. MO à contraste de phase
mise en évidence des différences d’indices de réfraction et de contraste
5. MO inversé
observation de cellules en culture.
1- Microscope électronique
Le microscope électronique utilise le même principe de lentilles et de faisceaux
qu'un microscope optique.
Ce qui varie, c'est que le microscope électronique est doté de lentilles électromagnétiques et d'un faisceau d'électrons, alors qu'un microscope optique utilise un faisceau de lumière et des lentilles en verre.
La limite de résolution du ME est plus élevée à celle du MO. Elle est de 2 nm (c’est-à-dire 1000 fois plus élevé que le MO).
L’agrandissement du ME peut atteindre jusqu’à 500.000 contre 2000 pour un MO.
a) Microscope électronique à transmission (MET).
Le microscope électronique en transmission (MET ou TEM en anglais) utilise un faisceau
d'électron à haute tension, émis par un canon à électrons. Des lentilles électromagnétiques
sont utilisées pour focaliser le faisceau d'électrons sur l'échantillon. En traversant
l'échantillon et les atomes qui le constituent, le faisceau d'électrons produit différentes sortes
de rayonnements. En général, seuls les électrons transmis sont alors analysés par le détecteur,
qui traduit le signal en image contrastée.
Les échantillons doivent être préparés selon un protocole précis, qui doit à la fois conserver sa
structure et être conducteur pour laisser passer le faisceau d'électrons. Des coupes très fines
de l'échantillon sont réalisées à l'ultramicrotome (de 60 à 100 nanomètres). Des colorations
aux métaux lourds sont également possibles pour augmenter les contrastes de structures
particulières des échantillons, préalablement placées sur des grilles d'observation.

b) Microscope électronique à balayage:

Grains de pollen (Gr : 500x)
Le microscope électronique à balayage (MEB ou SEM en anglais pour scanning
electronmicroscopy) utilise un fin faisceau d'électrons, émis par un canon à électrons.
Des lentilles électromagnétiques permettent de focaliser le faisceau d'électrons sur
l'échantillon.
L'interaction entre les électrons et l'échantillon provoque la formation d'électrons
secondaires de plus faible énergie. Ils sont amplifiés puis détectés et convertis en un signal
électrique. Ce processus est réalisé en chaque point de l'échantillon par un balayage du
microscope. L'ensemble des signaux permet de reconstruire la typographie de l'échantillon et
de fournir une image en relief.
La préparation des échantillons est contraignante. Ils doivent être déshydratés puis subir un
traitement pour devenir conducteur (fixation des tissus, nettoyage). L'échantillon est ensuite
placé sur le porte-objet.
C) Microscope à épifluoresecence

La fluorescence est la propriété que certains corps ou molécules ont à émettre
une lumière après avoir été excités avec une lumière d'énergie supérieure. Ainsi, un objet
excité par une longueur d'onde émettra une fluorescence à une longueur d'onde supérieure.
La technique du microscope en fluorescence est donc la même qu'un microscope optique, sauf
que la lumière utilisée n'est pas blanche, mais possède une gamme définie de longueur
d'onde. La lumière arrive sur l'échantillon par le haut (épi-fluorescence) et non par-dessous.
À l'émission, on peut alors utiliser des lasers possédant une longueur d'onde unique ou des
filtres d'excitation ne laissant passer que la lumière de longueur d'onde désirée sur l'échantillon. Après excitation de l'échantillon, celui-ci émet à son tour une lumière d'une longueur d'onde différente. On peut utiliser des filtres permettant de n'observer que la
longueur d'onde désirée.

- METHODES D'ETUDES PHYSIQUES
a) Autoradiographie :
Cette technique permet de suivre et de localiser des substances au sein d'un organisme. Elle repose sur l'utilisation de produits radioactifs qui possèdent 2 propriétés essentielles:
- ils sont utilisés par les êtres vivants exactement comme leurs isotopes non radioactifs.
- Ils émettent un rayonnement qui peut être repéré par l'utilisation d'une émulsion
photographique.
On fournit à l'organisme un composé radioactif (contenant le plus souvent du 14C ou du 3H =
tritium) soit par injection directe ou par incubation de cellules : c’est le « pulse ».
On réalise des coupes dans les tissus à étudier, ou on prélève les cellules en culture. On fixe le
matériel et les composants radioactifs non incorporés sont éliminés par lavage.
On recouvre le matériel d'une émulsion photographique (mélange de gélatine et de cristaux de
bromure d'Ag). On maintient le tout plusieurs jours ou plusieurs semaines à l'obscurité.
Pendant ce laps de temps, les rayonnements émis par les éléments radioactifs vont transformer
l'AgBr en Ag métallique. C’est le « chase ».
On développe le film pour faire apparaître en noir les zones impressionnées (présence des
grains d'argent opaques). L'observation simultanée du matériel permet de localiser les
molécules ayant incorporé l'élément radioactif (molécules marquées).
Exemple: suivi de l'incorporation de l'Uracile radioactif dans les ARN des Cellules en culture.
b) Fluorescence :
L’imagerie en fluorescence utilise un éclairage à haute intensité
pour exciter les molécules fluorescentes dans l’échantillon qui absorbent l’énergie lumineuse
(lumière d’excitation) et la restituent sous forme de lumière fluorescente (lumière d’émission).
QUESTION 16.
Concernant le microscope optique: (le microscope optique fonctionne en faisant converger des photons sur un objet afin de le grossir par un jeu de lentilles convergentes.)(!le microscope optique fonctionne en faisant converger des électrons sur un objet afin de le grossir par un jeu de lentilles convergentes.)
QUESTION 17.
Un microscope optique grossit un objet jusqu’à : (2000 fois)(!20000 fois)(!200000 fois)
QUESTION 18.
Le microscope électronique à tramsission (MET): (le MET fonctionne en faisant traverser l’objet à grossir par un faisceau d’électrons.)(!le MET fonctionne en balayant directement l’objet à grossir par des électrons.)(!le MET fonctionne en faisant converger des photons sur un objet afin de le grossir par un jeu de lentilles convergentes.)
QUESTION 19.
Le microscope électronique à balayage (MEB)
(le MEB fonctionne en balayant directement l’objet à grossir par des électrons.)(!le MEB fonctionne en faisant traverser l’objet à grossir par un faisceau d’électrons.)
QUESTION 20.
La microscopie électronique à balayage (MEB) permet :
(!D'observer la structure interne des échantillons)(D'observer la surface des échantillons en trois dimensions)(!D'observer des objets à l'échelle atomique et en temps réel)
QCMs du CONCOURS de PHARMACIE (ACCES DEUG)
QUESTION Q6. (Rabat 2016).
L'appareil de Golgi:
(Assure le contrôle de l'adressage des protéines)(Réalise les modifications post-traductionnelles)(!Assure la détoxification des produits chimiques)(Joue un rôle majeur dans les phénomènes d'exocytose)
QUESTION Q14. (Rabat 2016).
Le réticulum endoplasmique - RE- :
(!Sa membrane est en continuité avec la membrane interne de la mitochondrie)(Les vésicules destinées à l'appareil de Golgi bourgeonnent à partir du RE lisse)( Dans les cellules musculaires striées, le RE lisse est un site de stockage de calcium)(Les protéines mal repliées sont éliminées par le protéasome)
QUESTION Q22. (Rabat 2022).
En ce qui concerne les microscopes:
(Le microscope photonique classique est utilisé pour observer les cellules en culture cellulaire.)(!Le microscope à contraste de phase met en évidence la structure du cytosquelette.)(Le microscope à fluorescence peut être utilisé pour révéler des anomalies chromosomique comme les microdélétions.)(Le microscope électronique à balayage permet d'avoir une idée sur la structure tridimensionnelle de la structure cellulaire étudiée.)
QUESTION Q21. (Rabat 2022).
Au niveau des bactéries, les plasmides:(Sont des structures facultatives.)(!Sont codés par le chromosome bactérien.)(Apportent un caractère sélectif à la bactérie.)(Peuvent être à la base de la résistance aux antibiotiques.)
QUESTION Q21. (Rabat 2023).
Veuillez cocher la ou les proposition(s) juste(s):
(!Les champignons font partie des procaryotes.)(Les végétaux font partie des eucaryotes)(La levure est unicellulaire.)(!Les cellules eucaryotes possèdent un métabolisme anaérobie)
QUESTION Q22. (Rabat 2023).
Les plasmides:
(!Correspondent à la molécule d'ADN initiale de la bactérie.)(Apportent un caractère sélectif à la bactérie.)(Sont responsables de la résistance aux antibiotiques.)(!Sont transmis seulement d'une cellule mère à une cellule fille.)
QUESTION Q23. (Rabat 2023).
Une cellule procaryote contient:
(Un nucléoïde, des ribosomes, des inclusions.)(!Un noyau, des ribosomes, des plasmides.)(!Un système endomembranaire, une molécule d'ADN, des plasmides.)(!Un cytosquelette, une mitochondrie, un peroxysome.)
QUESTION Q24. (Rabat 2023).
Les virus: (Perturbent l'information génétique des cellules qu'ils infectent.)(!Peuvent vivre dans n'importe quel environnement de la nature.)(Peuvent posséder un patrimoine génétique fait d'ARN.)(!Sont appelés virus enveloppés quand la nucléocapside constitue le virus.)
QUESTION Q1. (Casablanca 2024).
La microscopie photonique: (Permet d'étudier les prélèvements histologiques.)(Permet d'étudier les prélèvements sanguins.)(Utilise un système de lentilles de verre.)(!Met en jeu un flux ondulatoire d'électrons.)(!Utilise la lumière UV.)
QUESTION Q2. (Casablanca 2024).
Les organismes procaryotes: (!Sont des êtres pluricellulaires.)(!Possèdent un noyau.)(!Comprennent les virus.)(Ont leur ADN dans le cytoplasme.)(!Sont assimilés aux champignons.)
QUESTION Q3. (Casablanca 2024).
La cellule eucaryote : (!Animale est entourée par une paroi.)(Végétale contient un appareil de Golgi.)(!Animale contient des chloroplastes.)(Possède un système endomembranaire.)(Animale possède un cytosquelette.)
QUESTION Q4. (Casablanca 2024).
Le noyau de la cellule : (!Est invisible en interphase.)(Contient le matériel génétique.)(!Ne contient pas de chromosomes.)(!Ne contient pas de chromatine.)(!Apparaît en mitose.)
QUESTION Q5. (Casablanca 2024).
La chromatine est constituée de: (D'ADN et de protéines.)(!Uniquement d'ADN.)(!D'ARN et de protéines.)(!Uniquement de protéines)(!D'histone)
QUESTION Q6. (Casablanca 2024).
A propos des histones : (!Ce sont de petites protéines acides.)(Elles ont un rôle structural.)(!Les non-histones sont des enzymes.)(L'histone H1 jouerait un rôle dans la compaction de l'ADN.)(L'octamère protéique est composé d'histones.)
- Eucaryotes, Procaryotes, virus et Microscopie (Test QCM + corrections):
-----> Test QCM corrigé sur Eucaryotes, Pocaryotes, Virus, Microscopie
- Biologie cellulaire (contrôle + correction):
- Controle corrigé de Biologie-cellulaire, S1, 2022
- Controle corrigé de Biologie-cellulaire, S1, 2021
REVENIR A LA PREPARATION DU CONCONCOURS DE PHARMACIE (ACCES DEUG) via Pharma3 Access Appli

---- Index ---- INFORMATIONS DEUG BIO ACCESS ---- EUCARYOTES-PROCARYOTES-VIRUS-MICROSCOPIE ---- MEMBRANE PLASMIQUE ---- HYALOPLASME ---- NOYAU ---- MITOCHONDRIE et CHLOROPLASTE --- SYSTEME ENDOMEMBRANAIRE ---
Procaryotes, Virus, Eucaryotes. Microscopie